"

Trachea – Tutorial

Please read Unit 9 – Introduction to Respiratory System Tissues prior to completing the activities in this chapter.

Introduction to the Trachea

The trachea (windpipe) is a large respiratory passageway measuring approximately one inch in diameter that extends from the cricoid cartilage of the larynx inferiorly through the anterior mediastinum to the point where it branches to form the right and left main bronchi (primary bronchi).  The walls of the trachea contain hyaline cartilage supports spaced at regular intervals along its entire length to prevent the trachea from collapsing or over expanding.  The cartilage supports are C-shaped rings that encircle all but the posterior region of the trachea which runs directly adjacent and parallel to the esophagus.  This allows the esophagus to expand anteriorly into the posterior portion of the trachea when a large bolus of food slides down the esophagus toward the stomach.

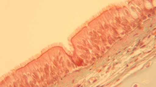
The lumen of the trachea is lined with pseudostratified ciliated columnar epithelium.  The endothelium possesses abundant goblet cells that discharge sticky mucus onto the ciliated apical surface of the columnar cells.  Together, the cilia and mucus work to capture and clear small impurities from inspired air.  The cilia sweep mucus and captured particles superiorly (upward) toward the pharynx to help prevent impurities from descending further into the lower respiratory tract in a process known as the mucociliary escalator or mucociliary clearance.  The submucosa of the trachea also contains numerous tracheal glands that discharge mucus into the lumen of the trachea to protect endothelial cells and capture impurities in the air passing through the lumen.

Tutorial:  Use the image slider below to learn more about the structure and characteristics of the trachea. 

Microscopy:  Use the image slider below to learn how to use a microscope to study the trachea on a microscope slide.

Tutorial:  Use the hotspot image below to learn more about the structure and function of the trachea.  

 

Tutorial:  Use the image slider below to study numerous examples of tissue from the trachea.